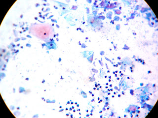
Trichomoniasis I guess. There are many inflammatory cells(neutrophils) in the background along with the organism( trichomonas) which is elliptical and has grey greenish cytoplasm and eccentric nuclei. Flagella can be made out in one or two places -Akhil V Meti
Good diagnosis followed by a neat description. I would prefer to wait for a few more days before answering coz, hope some more people are waiting to attempt the question.
Firstly, I would like to thank you for the feedback. Yes, I agree that its a yellow-green, itchy, frothy, foul-smelling ("fishy" smell) vaginal discharge & not a white discharge.
In this case, I wanted my students to diagnose it based on microscopy & not get biased by the clinical history. I will try to put forth an appropriate clinical history for future cases.
Keep visiting the blog for more quizzes, interesting cases, MCQs & discussion forums.
Trichomoniasis I guess. There are many inflammatory cells(neutrophils) in the background along with the organism( trichomonas) which is elliptical and has grey greenish cytoplasm and eccentric nuclei. Flagella can be made out in one or two places
ReplyDelete-Akhil V Meti
Good diagnosis followed by a neat description. I would prefer to wait for a few more days before answering coz, hope some more people are waiting to attempt the question.
ReplyDeleteThis comment has been removed by the author.
ReplyDeleteSorry,
ReplyDeleteI agree with microscopy as trichomoniasis,
but there will be greenish-yellow discharge; and not that white one.
#M
Firstly, I would like to thank you for the feedback. Yes, I agree that its a yellow-green, itchy, frothy, foul-smelling ("fishy" smell) vaginal discharge & not a white discharge.
DeleteIn this case, I wanted my students to diagnose it based on microscopy & not get biased by the clinical history. I will try to put forth an appropriate clinical history for future cases.
Keep visiting the blog for more quizzes, interesting cases, MCQs & discussion forums.
This comment has been removed by the author.
Delete