Thursday, December 31, 2015
Tuesday, December 29, 2015
MCQs Anemia 2.
Please copy the below given URL link to answer MCQs on Hemolytic & Aplastic Anemias.
http://goo.gl/forms/aEz36NyzmI
http://goo.gl/forms/aEz36NyzmI
All the best!
PS- Enter your names in the comments section, once you have answered the MCQs.
Monday, December 28, 2015
Interesting Case 2.
Monday, December 14, 2015
Interesting Case 1- Isolated Renal Hydatid cyst.
Gross shows cut-opened specimen of the right kidney showing a unilocular hydatid cyst with multiple daughter cysts.
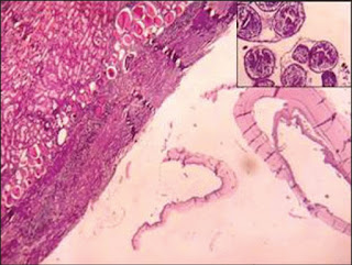
Microscopy shows laminated membranes of hydatid cyst with adjacent renal tissue showing compression and features of chronic pyelonephritis. (H and E, 100×). (Inset) Brood capsules showing scolices and lanceolate hooklets (H and E, 450×).
Impression: Isolated renal hydatid cyst.
Note: For further reading refer Kamath AS, Rao SP et al Isolated Renal Hydatid Cyst, Journal of Dr. NTR University of Health Sciences 2014;3(1): 70-71
Answers to MCQs Anemia 1.
Please copy the URL link given below & paste it into the browser bar for answers on MCQs Anemia 1.
https://docs.google.com/forms/d/1ZNglOCSSUirJewqYKAFdvoylnmYhDet4m__rRvewPJk/viewform?entry.1903488630=Thalassemia&entry.118642391=Thrombocytosis&entry.975372422=Low+Ferritin&entry.1472725289=rise+in+reticulocyte+%25&entry.853747467=ascorbic+acid&entry.1550455838=thalassemia&entry.1368741146=Intermediate+normoblast&entry.1015081869=inadequate+dietary+intake&entry.461032787=increased+reticulocyte+count&entry.583646292=flat+bones
Saturday, December 12, 2015
MCQs Anemia 1.
Please copy the link below and paste it onto the URL bar of your browser to solve MCQs on Microcytic & Macrocytic Anemias.
http://goo.gl/forms/G0GKZ6ZlL8
All the best!
PS- Enter your names in the comments section, once you have answered the MCQs.
Friday, December 11, 2015
Interesting Case 1.
A 65-year-old female presented with the complaint of pain and fullness in the right flank region, which she had been having for the past 1 year.
There was no history of associated urinary complaints.
On physical examination, a lump was palpated in the right lumbar region, which was tender with a smooth surface and ill-defined margins.
The kidney function tests were normal. All hematological and biochemical investigations were within normal limits. Urinemicroscopy showed no abnormalities.
Gross
Microscopy
Your Diagnosis?----------------------------------------
Please post your answers in the comments section.
PS- Acknowledgements & Heartfelt Thanks to Srinivas P. Rao,
Ramaswamy A. S. & Vaibhav J. Nayak.
Thursday, December 10, 2015
An Introduction to Pathology..
As rightly put forth by Boyd in his 8th edition of Pathology for the Physician - that “the purpose of pathology is not merely to learn a set of facts about things, but to study the causes of things, and why things happen. Truth lies not in facts, but in the relation between facts.
My first post is a self-assessment. A question to ask ourselves; " How much do i know about Pathology?"
Identify the photographs & please post your answers in the comments section below. Awaiting your replies.
Declaration- A purely educational purpose compilation of photo collage. I do not own the photo copyrights.
Subscribe to:
Comments (Atom)




